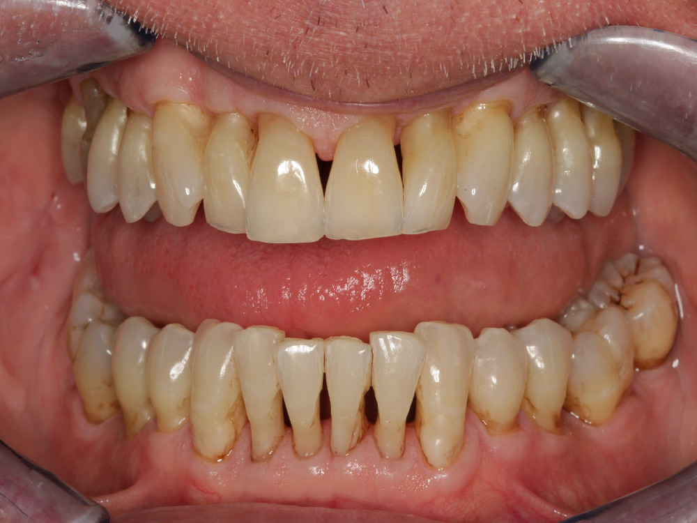
Vos gencives se rétractent petit à petit, vos dents paraissent plus longues, et vous commencez à ressentir une certaine gêne, voire une sensibilité au chaud et au froid ? La greffe de gencive intervient justement pour restaurer ce qui s'est peu à peu fragilisé. Elle permet non seulement de protéger les racines dentaires mais aussi de retrouver un sourire plus équilibré, plus sain, plus confortable au quotidien. Une solution discrète, mais souvent déterminante pour reprendre confiance en soi et préserver sa santé bucco-dentaire sur le long terme.
Coût de greffe de gencives en Turquie
Faire une greffe de gencive en Turquie, c'est profiter d'un excellent rapport qualité-prix sans compromis sur la compétence ou la sécurité. Nos cliniques partenaires travaillent avec des parodontistes expérimentés, formés aux techniques les plus récentes, pour offrir des résultats durables et esthétiques.
En moyenne, le coût d'une greffe gingivale en Turquie varie entre 500 € et 1 500 €, selon le type de greffe nécessaire, la complexité du cas et le nombre de dents à traiter.
Avec Turquie Santé, vous êtes accompagné à chaque étape : de l'évaluation de votre dossier jusqu'à la coordination avec la clinique la plus adaptée à vos besoins. Notre objectif est de vous garantir une expérience de soins sereine et un accompagnement personnalisé.
































































































