Turquie Santé

Avis Médical & Devis Gratuit

Obtenez votre devis gratuit en moins de 24h
@

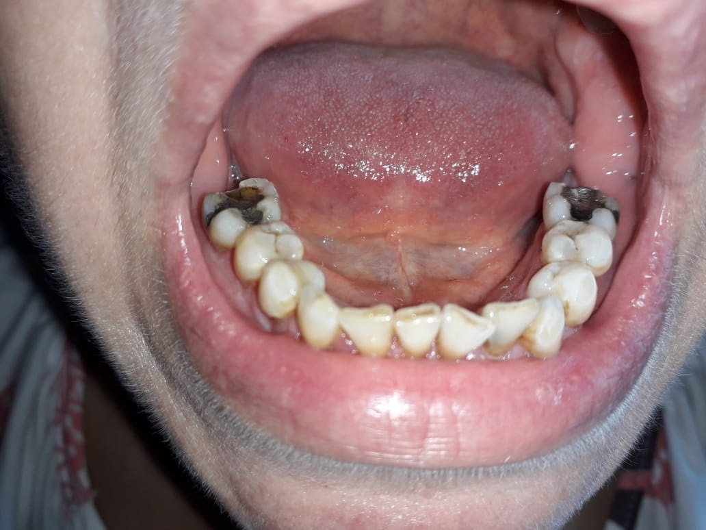
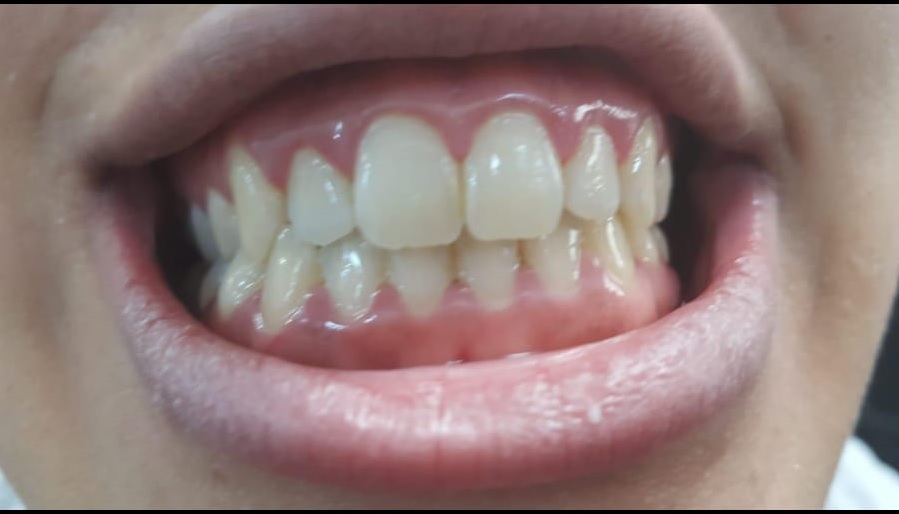
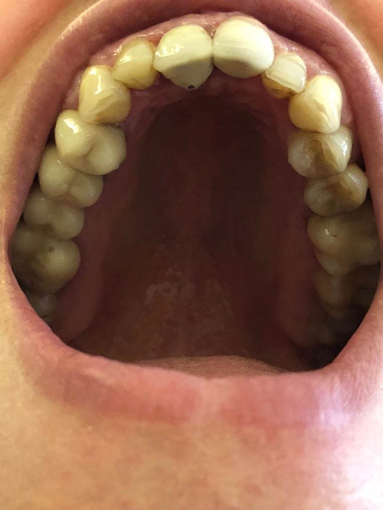
* 3 Photos de votre bouche seront nécessaires comme cet exemple :


Face Haut Bas

Données confidentielles