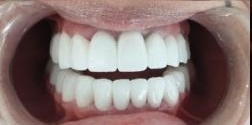
Подарите себе звездную улыбку и повысьте уверенность в себе с помощью зубных виниров в Турции! Эти тонкие оболочки, изготовленные по индивидуальным размерам из керамики или композитной смолы, аккуратно фиксируются на внешней поверхности зубов верхней и нижней зубных дуг.
Незаметные, устойчивые и полностью индивидуальные, зубные виниры предлагают вам естественный и сияющий результат без необходимости инвазивного стоматологического лечения. Независимо от того, хотите ли вы слегка подправить зубы или полностью изменить их внешний вид, это решение идеально соответствует вашим ожиданиям, сохраняя при этом структуру ваших естественных зубов.
Цена на зубные виниры в Турции
Зубные виниры - это надежное и эффективное эстетическое решение для улучшения внешнего вида вашей улыбки. Вы можете воспользоваться этой процедурой в партнерских стоматологических клиниках Turquie Santé, которые предлагают высококачественные услуги по привлекательным ценам.
Стоимость этой процедуры зависит от количества зубов, подлежащих коррекции, и может включать дополнительные эстетические процедуры. В среднем цена на виниры в Турции составляет от 233 до 349 долларов за один зуб. Наши партнерские клиники предлагают конкурентоспособные цены на эту процедуру.
Для получения индивидуального медицинского заключения и индивидуального предложения не стесняйтесь обращаться к нашим хирургам-стоматологам, ортодонтам или специалистам по имплантологии и косметической стоматологии.
Выбирайте зубные виниры в Турции и превратите свою улыбку в соблазнительное достояние!
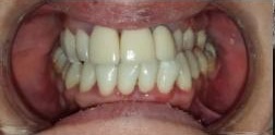
Риски и побочные эффекты
- Чувствительность зубов.
- Износ естественных зубов.
- Риск появления трещин.
- Зубная инфекция.
- Проблемы с цветом.




































































































